![图片[1] | 网传的牙齿美白方法,哪些比较靠谱? | 星尘资源网](/wp-content/uploads/2025/10/1760257125329_0.jpg)
我们的牙齿会被各种食物和饮料染色,即使有健康的生活习惯,也会因为年龄增长,或是平日摄入的各种微量元素让它们变得不再洁白。可以说:
我们的牙齿,注定是要变黄的。
所以很多人走上了追求牙齿美白的道路,网上流传的牙齿美白方法几乎都要去试一试,然而效果却不尽理想。今天我们就来聊一聊牙齿美白那些事。
![图片[2] | 网传的牙齿美白方法,哪些比较靠谱? | 星尘资源网](/wp-content/uploads/2025/10/1760257125329_1.gif)
市面上有形形色色的牙齿美白产品,它们的原理和效果各不相同,而且不一定每一种都健康又有效。在选择适合自己的牙齿美白方式之前,你需要先了解这几点,才不会盲目:
![图片[3] | 网传的牙齿美白方法,哪些比较靠谱? | 星尘资源网](/wp-content/uploads/2025/10/1760257125329_2.gif)
美白牙膏
主要有两种,一种的效果是分解牙渍,另一种靠打磨牙齿表面进行美白。前者效果有限,后者很容易损伤牙齿。
![图片[4] | 网传的牙齿美白方法,哪些比较靠谱? | 星尘资源网](/wp-content/uploads/2025/10/1760257125329_4.gif)
刷牙时用美白牙膏应该是最简单的方法了。我们每天都要刷牙,通过刷牙,一边护理口腔一边美白牙齿,一举两得。
常见的美白牙膏大多添加了硅性物质或是低浓度过氧化氢等去渍成分,在刷牙的过程中逐渐分解让牙齿变黄的污渍。很多牙膏还附赠比色卡,可以随时对比美白效果。
但是通常刷牙的时间较短,低浓度的美白成分无法让去渍成分充分发挥效果。所以大多数的美白牙膏,美白效果都很有限。
![图片[5] | 网传的牙齿美白方法,哪些比较靠谱? | 星尘资源网](/wp-content/uploads/2025/10/1760257125329_5.jpg)
除了添加过氧化氢之外,还有一些美白牙膏会通过打磨牙齿表面进行美白。这样的牙膏美白效果比单纯的去渍要好很多,可是经常打磨,又很容易磨损牙釉质。牙釉质无法再生,打磨变薄了,牙齿也会变得脆弱,是一件得不偿失的事情。
洁牙粉
不太推荐。
洁牙粉中同样含有摩擦剂,与上面说的第二种美白牙膏类似,偶尔使用可以看出变化,但经常使用同样会损伤牙齿表面,也是一种不太推荐的牙齿美白方式。
![图片[6] | 网传的牙齿美白方法,哪些比较靠谱? | 星尘资源网](/wp-content/uploads/2025/10/1760257125329_6.jpg)
美白牙贴
循序渐进使用,效果比美白牙膏明显,但不适合牙齿敏感者使用。
美白牙贴的主要作用成分也是过氧化剂,可以像美白牙膏一样,分解那些让牙齿变黄的物质。使用牙贴是一个循序渐进的过程,通常,在最初使用的一周内会有明显的变化,至于它可以让牙齿美白到什么程度,也要因人而异。而且,在使用牙贴的半小时内,说话和进食都会有影响。
![图片[7] | 网传的牙齿美白方法,哪些比较靠谱? | 星尘资源网](/wp-content/uploads/2025/10/1760257125329_7.gif)
美白牙贴使用时长大约在三十分钟左右,可以让去渍成分发挥更多作用。所以比起美白牙膏,牙贴效果要更明显一些。如果你的牙齿比较敏感,长期使用牙贴会有酸痛的感觉。
通常牙贴中所含有的过氧化剂成分不能超过 10%,有些牙贴声称自己的产品效果特别好,美白速度很快,它们很可能是为了追求效果,增大了过氧化剂的成分。这样的产品很容易破坏口腔黏膜,长期使用会有烧灼的感觉,同时舌头或是下颚也很容易因为刺激起皮、溃烂。
漱口水
有些漱口水中也会添加低浓度的过氧化氢,在漱口时起到去渍的效果。不过漱口的时间也很短,无法让过氧化氢发挥出明显的效果。
![图片[8] | 网传的牙齿美白方法,哪些比较靠谱? | 星尘资源网](/wp-content/uploads/2025/10/1760257125329_8.jpg)
如果牙齿染色比较严重,在使用各类产品之前,最好还是去牙医那里进行一次比较深入的美白,这里只是简单介绍一下,具体还要听从医生的建议。
冷光美白
冷光美白的效果十分明显,但是会让牙齿在一定时间里十分敏感。而且刚刚美白过的牙齿更容易染色,需要尽量避开可能会染色的食物和饮料。
牙托
这种方式需要先根据自己的牙齿形状,在牙科医院定制模具。之后每晚将漂白剂添加到模具中,套在牙齿上。价格适中,但也需要循序渐进才能见效,而且也会因为牙齿敏感,产生酸痛的感觉。
贴面/美容冠
这两种方式见效最快,在选择这两种方法的人都很多,是目前很流行的牙齿美白方法,针对黄牙黑牙,四环素牙,氟斑牙等问题都很有效。
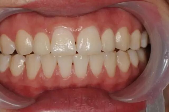
![图片[9] | 网传的牙齿美白方法,哪些比较靠谱? | 星尘资源网](/wp-content/uploads/2025/10/1760257125329_10.jpg)
瓷贴面案例图
最后提醒大家:想让牙齿变白,千万别乱投医,选对方法很重要!
![图片[10] | 网传的牙齿美白方法,哪些比较靠谱? | 星尘资源网](/wp-content/uploads/2025/10/1760257125329_11.gif)















请登录后查看评论内容