![图片[1] | 健康生活 从“齿”出发 !预防牙周炎,远离“老掉牙”~ | 星尘资源网](/wp-content/uploads/2025/10/1759749596482_0.gif)
2023年9月20日是第35个“全国爱牙日”。本年度“全国爱牙日”的宣传主题是“口腔健康,全身健康”,副主题是:关爱老年口腔,乐享健康生活。
![图片[2] | 健康生活 从“齿”出发 !预防牙周炎,远离“老掉牙”~ | 星尘资源网](/wp-content/uploads/2025/10/1759749596482_1.png)
![图片[3] | 健康生活 从“齿”出发 !预防牙周炎,远离“老掉牙”~ | 星尘资源网](/wp-content/uploads/2025/10/1759749596482_2.png)
![图片[2] | 健康生活 从“齿”出发 !预防牙周炎,远离“老掉牙”~ | 星尘资源网](/wp-content/uploads/2025/10/1759749596482_1.png)
说起老年人的口腔问题,我们首先想到的就是“老掉牙”,那么老掉牙真的是正常的现象吗?其实,“老掉牙”从来不是自然发生的,而是由一系列牙齿及牙齿周围组织的疾病引发的,其中最常见的就是牙周炎。据统计,在我国成年人中约有80%患有不同程度的牙周疾病。由于牙周炎的早期没有明显自觉的症状而易被忽视,待有症状时(如口臭、牙龈萎缩)已较严重,甚至已不能保留牙齿。早发现、早治疗是告别牙周炎最好的办法(省钱省事还有助身体健康)。
01
什么是牙周炎
我们把牙齿比喻成一颗树,那么牙周组织就是树周围的泥土,牙周炎是发生于牙周组织的慢性炎症。牙周炎是引起成年人牙齿丧失的首要原因,也是危害人类牙齿和全身健康的主要口腔疾病。
![图片[5] | 健康生活 从“齿”出发 !预防牙周炎,远离“老掉牙”~ | 星尘资源网](/wp-content/uploads/2025/10/1759749596482_4.jpg)
![图片[2] | 健康生活 从“齿”出发 !预防牙周炎,远离“老掉牙”~ | 星尘资源网](/wp-content/uploads/2025/10/1759749596482_1.png)
02
牙周炎的临床表现
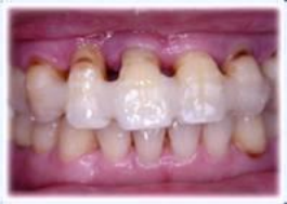
牙龈红肿出血
![图片[7] | 健康生活 从“齿”出发 !预防牙周炎,远离“老掉牙”~ | 星尘资源网](/wp-content/uploads/2025/10/1759749596482_6.png)
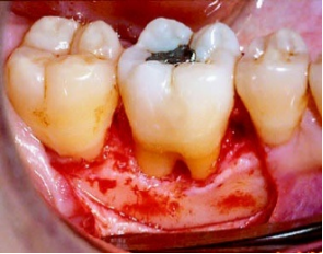
2.牙齿松动脱落,溢脓
![图片[8] | 健康生活 从“齿”出发 !预防牙周炎,远离“老掉牙”~ | 星尘资源网](/wp-content/uploads/2025/10/1759749596482_7.png)
3.口臭
![图片[9] | 健康生活 从“齿”出发 !预防牙周炎,远离“老掉牙”~ | 星尘资源网](/wp-content/uploads/2025/10/1759749596482_8.png)
![图片[2] | 健康生活 从“齿”出发 !预防牙周炎,远离“老掉牙”~ | 星尘资源网](/wp-content/uploads/2025/10/1759749596482_1.png)
03
牙周炎与全身健康
牙周炎和全身健康密切相关,牙周炎患者的口腔就像一个细菌储存库,大量的细菌源源不断的输送至全身。研究表明,牙周炎与糖尿病、心血管疾病、获得性肺炎、胃炎以及老年痴呆、中风都有不同程度的相关,此外,孕妇患有牙周炎,出现早产及低体重儿的几率明显增加。
![图片[2] | 健康生活 从“齿”出发 !预防牙周炎,远离“老掉牙”~ | 星尘资源网](/wp-content/uploads/2025/10/1759749596482_1.png)
04
如何预防牙周炎
1.注意口腔卫生,做到早起及睡前刷牙、饭后漱口,掌握正确的刷牙方法,学会使用牙线及牙间隙刷。
2.定期检查口腔,密切注意牙周炎的早期信号,如果出现牙龈红肿、刷牙出血,这可能是牙周炎的征象,应尽早到医院诊治。
3.养成良好的生活习惯,戒烟戒酒。
![图片[2] | 健康生活 从“齿”出发 !预防牙周炎,远离“老掉牙”~ | 星尘资源网](/wp-content/uploads/2025/10/1759749596482_1.png)
05
如何治疗牙周炎
基础治疗
包括洁治、刮治、根面平整等,用于清除牙齿周围的牙结石,菌斑等刺激物。
![图片[13] | 健康生活 从“齿”出发 !预防牙周炎,远离“老掉牙”~ | 星尘资源网](/wp-content/uploads/2025/10/1759749596482_12.png)
手术治疗
对于一些仅采用基础治疗后效果不佳的牙周炎,可以通过适当的手术治疗挽救患牙,包括牙周翻瓣术、牙龈切除术等。
![图片[14] | 健康生活 从“齿”出发 !预防牙周炎,远离“老掉牙”~ | 星尘资源网](/wp-content/uploads/2025/10/1759749596482_13.png)
修复治疗及松牙固定术
通过修复治疗,恢复牙周组织功能。对于能够保留的松动牙齿,有必要进行松牙固定术。
![图片[15] | 健康生活 从“齿”出发 !预防牙周炎,远离“老掉牙”~ | 星尘资源网](/wp-content/uploads/2025/10/1759749596482_14.png)
定期复查
以保持疗效,防止复发。
![图片[16] | 健康生活 从“齿”出发 !预防牙周炎,远离“老掉牙”~ | 星尘资源网](/wp-content/uploads/2025/10/1759749596482_15.png)
![图片[2] | 健康生活 从“齿”出发 !预防牙周炎,远离“老掉牙”~ | 星尘资源网](/wp-content/uploads/2025/10/1759749596482_1.png)
![图片[2] | 健康生活 从“齿”出发 !预防牙周炎,远离“老掉牙”~ | 星尘资源网](/wp-content/uploads/2025/10/1759749596482_1.png)
有句广告词说的好:牙好,胃口就好,吃嘛嘛香,让我们一起关爱老年口腔健康,预防口腔问题,让健康的牙齿陪您到老!
文稿:口腔科 白露
















请登录后查看评论内容